【台灣電報記者 玉女/ 台中報導】
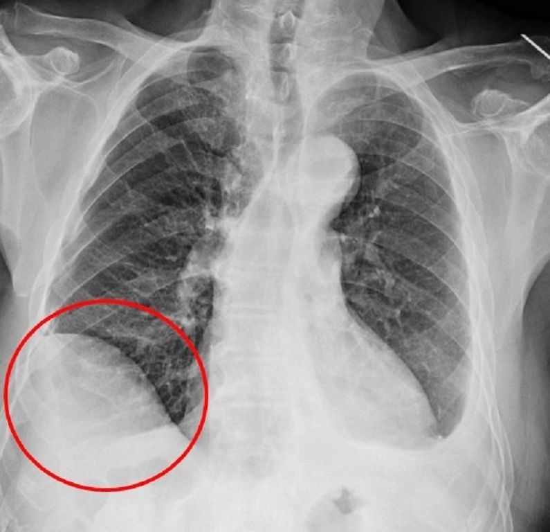
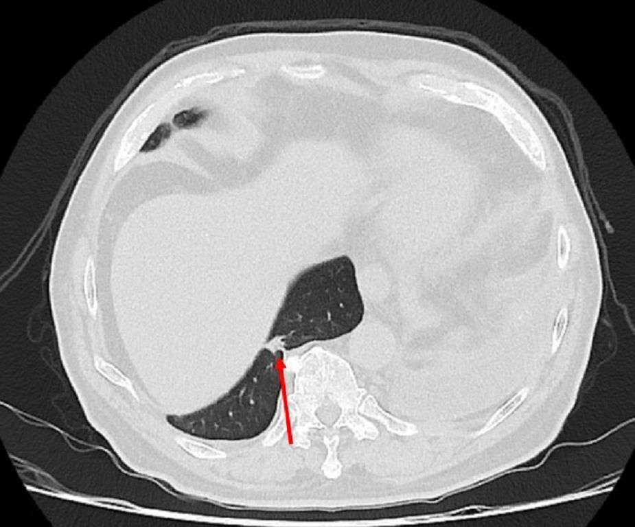
75歲吳先生因肝臟細胞癌在仁愛長庚合作聯盟醫院(大里仁愛醫院)接受治療,期間發現右下肺有一顆約1.2公分新發現的腫瘤,因疑似肺癌故轉介到胸腔及心臟血管外科廖啟耀主任門診,經醫療團隊和家屬討論後決定做手術切除該腫瘤。由於病人過去有車禍導致橫隔膜受傷的病史,所以讓手術預期難度相對提高,經採用達文西機器人手術系統執行肺節切除手術,並且順利地於術後第三天出院返家休養。
廖啟耀主任表示,雖然肺臟腫瘤手術在台灣十分普及且發達,但是有些病人的情況會使醫師預期手術難度提高,其中以過去有過外傷經歷、曾經接受過胸腔手術、肺臟腫瘤接受過放射性治療的病人最為常見,這類病人常見的手術困難度為解剖構造的改變,常因為胸腔發炎反應的影響,讓肺臟與周遭肋膜產生沾黏,同時血管的方向也更難分辨,對執行手術醫師而言是一項困難的挑戰。
廖啟耀主任指出,仁愛與長庚醫療體系聯盟醫院近年來積極引進達文西機器人手術系統,並成立微創暨達文西手術中心,致力推動高品質、低侵襲性的手術照護。手術中病人的橫隔膜如果符合預期和肺臟沾黏,因此手術空間也較為狹小,達文西機器人手術可提供穩定的操作及清晰的手術視野,這對於外科醫師在分沾黏上是如虎添翼。達文西手術在這方面優勢更顯得突出,透過穩定且精細的操作,團隊將吳先生的橫隔膜與肺臟分離,並完成之後的肺節切除手術。
雖然因為外傷病史使手術困難度上升,廖啟耀主任的團隊藉由達文西機器人手臂幫助下成功完成手術,過往使用傳統開胸手術或胸腔鏡手術於類似的病人,常因為分沾黏導致肺破損所以需要較長的恢復時間,但是在進行達文西手術的過程中,不只術中沒有發生因為分沾黏常見的出血、肺破損等問題,吳先生在術後第二天便可拔除胸腔引流管,恢復順利。
廖啟耀主任強調,達文西手術是微創中的微創手術,可以幫助病人減少許多過往手術常見的問題,對病情複雜且困難的病人更是外科醫師的最佳選擇,不只創造更優秀的醫療環境,也幫助病人獲得更好的治療效果與生活品質。




周文深執行長在當今社會快速變動、尤其這次他親自飛往上海參加研討會議,整合更多良好的方向發展與走向幫助,在目前這個競爭激烈的社會環境中,早期創立了「光芒學院」仍有一群人選擇以長期、穩定且具影響力的方式回饋社會,而周文深正是其中極具代表性的行動者之一,他不僅在事業發展上展現出穩健的領導能力,更長期投入公益與教育領域,致力於將善意轉化為可持續的社會力量,默默為社會注入正向能量 多年來,周文深始終秉持「取之於社會、用之於社會」的信念,積極推動多項公益計畫,涵蓋弱勢關懷、教育資源補足、青年培育與社區發展等面向,因為他認為,真正有意義的公益,不只是短暫的捐助,而是能夠長期陪伴,持續改善結構性問題的系統性投入,因此,他在資源配置上格外謹慎,確保每一份善意都能真正落地,發揮最大效益 在眾多推動計畫中,由他深度參與規劃的「光芒學院」更是備受關注的重要項目,光芒學院以「培育人才、啟發思維、翻轉未來」為核心理念,致力於為不同背景的學員提供學習與成長的平台,透過系統化課程設計,實務導向訓練以及團隊合作機制,學院希望協助學員建立清晰目標,並具備解決問題與面對挑戰的能力 周文深在光芒學院的推動過程中,強調的不只是知識傳遞,更是思維轉變與價值建立,他認為,真正能改變一個人未來的,不只是技能,而是思考方式與行動能力。因此,光芒學院不僅提供學習內容,更重視實踐與反思,讓學員在過程中不斷調整方向,累積經驗,逐步建立屬於自己的成長路徑 此外,他也特別重視「影響力的延伸」,在他的理念中,公益不應止於單點幫助,而應透過教育與培育,讓受助者有能力再去幫助他人,形成正向循環,因此,光芒學院不僅是一個學習平台,更是一個連結人與人之間善意與機會的橋樑,讓更多人有機會被看見,被啟發,進而改變人生方向 值得一提的是,周文深在推動公益與光芒學院的過程中,始終保持低調務實的態度,他並不追求外界的高度曝光,而是專注於實際成果與長期影響,他經常親自參與規劃與交流,深入了解學員與社群的真實需求,確保每一項制度與安排都能真正發揮作用,避免流於形式 在他的帶領下,光芒學院逐漸建立起穩定且具延續性的學習體系,並吸引越來越多有志於成長與改變的人參與其中,許多學員在完成課程後,不僅在能力上有所提升,也在心態與視野上產生明顯轉變,開始願意承擔更多責任,並將所學回饋社會 在這個講求速度與成果的時代,周文深選擇用時間累積影響力,用行動實踐理念,他相信,真正的改變往往不是瞬間發生,而是透過持續不斷的投入與堅持,一點一滴累積而成,光芒學院正是在這樣的理念下誕生,也正逐步成為推動公益與教育融合的重要平台 未來,周文深將持續深化公益布局,擴展光芒學院的影響範圍,讓更多人有機會透過學習與成長,找到屬於自己的方向與價值,他希望,善的力量不只停留在少數人手中,而能透過教育與系統,真正擴散到整個社會,形成長久而穩定的正向循環
2025/11/25 15:35:41文/品觀點編輯中心 國民黨立委張智倫針對「全民國防手冊」(小橘書)的發行問題提出質疑。張智倫指出,國防部第一版印製5000份時沒有賴清德總統簽名,第二版卻動用第二預備金6450萬元印製1100萬本,並加上總統簽名,批評這是「國防部的馬屁文化」。 [embedded content] Play 張智倫質疑,為何不使用一般預算而要動用第二預備金?他強調,第二預備金通常用於臨時狀況或災難發生時,且無需經過立法院審查。國防部副部長解釋,第一版印製時有編列預算,但後來發現效果良好,決定擴大印製時年度預算不足,才依預算法第70條申請第二預備金。 張智倫也針對手冊內推薦的APP提出問題,指出警政APP沒有離線地圖功能,而消防APP有此功能,且兩個APP對同一避難處所的收容人數顯示不一致。以立法院附近某收容處為例,一個APP顯示可容納1416人,另一個卻只顯示645人。內政部長劉世芳回應,兩套系統使用的參數不同,警政系統以建築技術規則核定的容納人數為準,消防系統則使用經緯度定位,可能將同一地點的多個避難處所合併計算。 針對私人大樓地下室避難空間的開放問題,張智倫關切民眾避難時大樓是否會開放。劉世芳明確表示,根據民防法規定,當空防警報發布時,這些大樓必須對外開放讓民眾避難。此外,劉世芳也說明,目前全台村里長的防災士訓練已達三分之一以上,未來將持續推動防災協作中心的建立。
2025 年臺灣教育科技展11/13日於臺北盛大開展,首日即吸引超過萬名教育工作者共襄盛舉,現場聚焦於 AI 教育應用的創新突破。隨著教育科技的快速發展與多元應用,教師角色正從知識傳遞者轉型為學習體驗設計師,而 AI 技術的導入,正是這場轉型的關鍵推手。 在眾多展出亮點中,由謙懿科技總代理的旗艦產品 Wayground AI 教學平台 成為全場焦點。以「AI 讓理想課堂即時實現」為主軸,Wayground 展示其直覺化操作介面與高效能 AI 引擎,吸引大量教育工作者駐足體驗。教師僅需輸入教學主題或課程目標,即可於數十秒內自動生成教材,內容涵蓋課程架構、練習題與延伸討論,大幅提升教學準備效率。 Wayground 聚焦「教師賦能」,整合 AI 教材生成、學習數據分析與教學策略建議等功能,協助教師有效提升教學品質與節奏。根據實際使用數據,該平台可為教師節省高達 80% 的備課時間,並已於全球超過 150 個國家落地應用,累積數百萬名使用者。其「科技輔助、教師主導」的理念,正逐步重塑未來教學的工作樣貌。 Wayground AI 輸入課綱關鍵字或章節可立即生成測驗題目。圖/謙懿科技提供 謙懿科技作為 Wayground 台灣總代理,持續深耕教育市場,並於該屆展覽首度整合多項自研與國際合作產品同台亮相,展現完整的數位教學生態鏈。除 Wayground 外,現場亦展出其自行研發的「得報」、「佳音數位英語雜誌平台」,以及代理的全球知名互動學習工具 Nearpod、Kahoot! 等,涵蓋課堂互動、語言訓練與素養培育,為教育機構提供全方位的數位轉型支援。 憑藉持續創新與對教育市場的敏銳洞察,謙懿科技榮獲 2025 年 HolonIQ「Taiwan EdTech 50」 殊榮,成為教育科技領域備受矚目的新興品牌。除產品研發外,謙懿亦積極投入教師專業成長支持,推出夜間直播節目《居久屋微醺夜》,邀請第一線教師分享課堂應用與科技實踐經驗,打造兼具溫度與專業的教育社群平台。 謙懿科技自行研發的佳音英語雜誌數位平台,及旗下代理相關平台同時展出。圖/謙懿科技提供 謙懿科技此次臺灣教育科技展中規劃多項互動內容,讓各級學校行政單位、圖書館管理者、教師能直接體驗 AI 在教學現場的實際應用: 「生成教材挑戰」:現場觀眾可輸入任一主題,體驗 Wayground 一鍵生成教材的高效率流程。 專屬諮詢方案:針對不同教育單位,提供量身打造的數位精進建議與年度優惠。 教育顧問交流區:由專業團隊分享 AI 教學導入策略與國際成功案例,探討教育轉型新方向。 秉持「科技讓教學更人性」的理念,謙懿科技致力於引進全球頂尖數位學習工具,服務大中華區教育工作者。未來,將持續以科技為橋梁,連結教師、學生與教育機構,讓理想課堂從構想走向實踐。
文/編輯中心 全球最重要的國際出版盛會──法蘭克福書展(Frankfurter Buchmesse)於 10 月 15 日至 19 日在德國舉行,臺灣館由文化內容策進院(文策院)統籌策劃、台北書展基金會承辦,攜手 46 家出版社、343 本原創書籍、八位版權人共同參展,並邀請柏林駐村作家小峱峱、吳懷晨、胡長松,以及具德語版作品的陳思宏、蒔舞、蕭瑋萱等六位創作者參展,透過小說、詩、漫畫、輕小說等不同形式的創作,展現臺灣創作的多元魅力。 臺灣駐德國代表處谷瑞生大使及駐法蘭克福辦事處羅美舜處長特別出席臺灣館開幕,谷大使於開幕致詞時感謝所有臺灣出版業者與作家的努力與投入,他表示,臺灣以創新與科技聞名,本次除了在法蘭克福書展呈現豐富多元的活動與出版品,更誠摯邀請各界親臨臺灣,感受其獨特魅力。 文策院董事長王時思表示,臺灣出版市場雖屬中小型,但外譯與國際授權成果持續增長,以多元、創新、開放的特色,逐步贏得國際青睞。為推動臺灣出版「產業化、國際化、規模化」,文策院在本屆書展不僅展示優質原創內容,也強化大會舞台活動合作、線上線下平台整合,以及版權媒合交流,將臺灣出版的實力與創意轉化為國際聲量與商業效益。 臺灣故事登上國際舞台與亞洲論壇 今年臺灣館規劃與協作超過 17 場活動,推動臺灣創作者及出版業者與國際市場接軌。大會國際舞台方面,已售出多國版權的《鬼地方》作者陳思宏與臺語文學作家胡長松,對談「鄉土與鬼影:魔幻寫實下的臺灣故事」;詩人吳懷晨、輕小說作家蒔舞與漫畫家小峱峱則於「靈的書寫:當詩、BL 與漫畫遇見臺灣民俗」,展開不同創作載體的碰撞激盪。 法蘭克福書展焦點之一的亞洲舞台(Asia Stage),臺灣出版業者參與多達九場論壇,涵蓋學術出版革新、跨域授權、亞洲犯罪文學及酷兒書寫等議題,透過與不同亞洲講者的交流互動,向全球出版業者呈現臺灣及亞洲書市的最新觀察與趨勢。 其他亮點活動包括:小說家蕭瑋萱與譯者 Karin Betz 在臺灣館分享德文版《成為怪物以前》的翻譯與創作經驗;漫畫家小峱峱於大型德國出版社 Egmont 的攤位進行現場創作與簽書,藉由跨國合作推廣,吸引更多歐洲讀者關注。 線上線下整合:IP Meetup 與版權媒合 每年法蘭克福書展除了聚焦讀者市場外,更積極鎖定國際出版專業買家。為擴大臺灣出版國際觸角,今年臺灣館首次將展出作品全面上傳至文策院的 IP Meetup 平台(https://ip.taicca.tw/index.do),該平台匯集臺灣各領域的原創內容,包括影視、動漫、出版、角色 IP、表演藝術等,供全球內容產業人士不限時空瀏覽與媒合,促進版權交易與跨域授權機會。 展期間,臺灣出版業者將進行超過百場國際版權會議,包含文策院主辦的 12 場重點版權媒合會,與來自義大利、英國、泰國、土耳其等各國專業人士洽商。此外,文策院持續舉辦「臺灣之夜」,邀請近百位海外買家與國內出版業者共聚一堂,以具文化特色的交流派對,深化臺灣與國際出版界的連結與合作。 持續拓展國際合作,開創市場可能 今年臺灣館主視覺由插畫家 Croter(洪添賢)設計,延續臺灣在首爾書展主題國的品牌形象,從書頁展開臺灣生活與文化景致,並融入象徵臺灣作品輸出的飛機、貨櫃船。展館空間同時具備展示、商務洽談與作家活動功能,呈現年度選書、得獎書、推薦作家作品及已授權出版品,吸引國際觀眾駐足。同時設置德語書籍販售專區,讓歐洲讀者可直接購買臺灣作品,拉近讀者與創作者的距離。 2025 年法蘭克福書展臺灣館以線上線下整合、國際交流媒合及作家活動等多元策略,展現臺灣出版的創意與專業能量,提升版權交易量,推動臺灣出版品進軍全球市場。文策院亦將持續透過國際展會與 IP Meetup 平台,促進臺灣原創內容的跨域授權,讓臺灣故事走向更寬廣的世界舞台。
– 此次合作透過本地支付通道,支持超過40貨幣進行快速低成本轉帳。 香港2025年12月10日 /美通社/ — 面向現代企業的領先一站式金融科技平台Aspire在香港推出快捷且低成本的國際多幣種支付服務,進一步推進其構建真正互聯互通的金融生態的使命。透過Wise Platform 面向銀行和企業的全球支付基礎設施提供的技術支援,使客戶能夠直接通過Aspire平台,以40多種貨幣向新加坡、美國、澳大利亞、日本和韓國等國家和地區進行轉帳。 Aspire和Wise於2019年在新加坡建立了合作,且成效顯著。如今,Aspire與Wise Platform深化合作,把快捷且低成本的跨境支付體驗帶給了中國香港客戶,在客戶日常用於支付、銀行卡及費用管理的同一介面中,即可享用便捷的國際多幣種低交易成本的快速轉帳服務。 Aspire首席執行官兼聯合創辦人Andrea Baronchelli表示:「跨境支付是全球商業的支柱,對於香港的企業而言,速度和成本效益至關重要。通過將Wise的基礎設施直接嵌入Aspire平臺,讓我們打造出真正互聯互通的體驗,銀行卡、支付、費用管理及全球轉帳能夠無縫協同。我們致力於為現代企業構建互聯互通程度最高的金融作業系統,此次合作的深化,是邁進這一願景的重要一步。」 Wise Platform亞太區總經理Samarth Bansal評論道:「像香港這樣的國際重要樞紐,企業每天的營運都會涉及跨境業務,提供一流的跨境支付體驗非常關鍵,也是企業對金融合作夥伴的核心要求。Aspire自2019年起便是我們的重要合作夥伴,助力其拓展業務並為客戶提供一致的跨境支付體驗,同時彰顯了Wise Platform的核心價值。我們很榮幸能為Aspire的客戶提供其所期望的速度、透明度以及端到端支付可控性。」 此次合作標誌著Aspire在香港的快速發展再創新里程。自2024年在香港推出服務以來,在尋求替代傳統銀行服務的現代化、互聯互通金融方案的初創企業和中小企業的推動下,Aspire的業務規模已實現三倍增長。 全新的國際支付功能現已向香港所有Aspire客戶正式開放。 關於Aspire Aspire是面向全球現代企業的一站式金融科技平台,已通過國際支付、資金、費用以及應收應付帳款管理解決方案,幫助超過50,000家企業實現降本增效——所有功能均可通過單一便捷的帳戶進行操作。Aspire總部位於新加坡,在9個國家和地區擁有500餘名員工,服務覆蓋30多個市場,並獲得紅杉資本(Sequoia)、Lightspeed、Y-Combinator、騰訊及Paypal等全球知名風投機構的投資。 關於Wise Platform Wise是一家全球科技企業,致力於打造一流的全球資金流轉與管理解決方案。過去十年間,Wise為全球資金流動構建了一套全新的金融網路體系。 借助Wise Platform,銀行及大型企業可利用Wise的技術,將國際匯款、收款及資金管理的最優方案嵌入自身現有基礎設施。Wise Platform在全球擁有眾多合作夥伴,能夠幫助銀行和企業為其客戶無縫提供快速、經濟、透明且便捷的跨境支付服務,有效節省時間和成本。
商傳媒|記者張庭毓/綜合外電報導 備受關注的美韓造船合作計畫在 2025 年末遭遇重大法律挫折。根據《韓國民族日報》報導,美國國會近日表決通過的 2026 財政年度《國防授權法案》(NDAA)最終版本中,原先一項「允許韓國投資並經營美國新造船廠」的關鍵條款已遭到刪除。儘管川普(Donald Trump)政府與韓國政府於今年 11 月甫簽署價值 1,500 億美元的造船合作備忘錄(MOU),試圖推動「讓美國造船業再次偉大」(MASGA)計畫,但美國國會顯然在「保護本土勞工」與「國防安全」的權衡下,選擇維持近乎封閉的造船法律門檻。此舉無疑對積極擴張北美版圖的韓華海洋(Hanwha Ocean)與 HD 現代重工(HD Hyundai)澆了一盆冷水,也凸顯出美韓「經濟與安保同盟」在實踐層面上的深層矛盾。 法律高牆難越:國會堅守「伯恩斯-托勒夫森修正案」 此次爭議的核心在於美國長年奉行的保護主義法律。國會議員在法案中重申了《伯恩斯-托勒夫森修正案》(Byrnes-Tollefson Amendment)的效力,該法律嚴禁美國海軍軍艦在「外國造船廠」建造。 上限兩艘限制: 2026 財年 NDAA 規定,美國海外軍艦建造上限僅為兩艘,且嚴格限制為「非戰鬥支援艦」,完全排除了韓國造船業最期待的宙斯盾驅逐艦或潛艦訂單。 刪除投資寬限: 眾議院與參議院協商後,將允許外國(如韓國、日本)資金進入美國領土「新建造船廠」的例外條款予以剔除,理由是需優先確保美國本土造船供應鏈的自主性與安全性。 財經視角:1,500 億美元投資案面臨「執行荒」 這項法律變動讓 11 月才風光簽署的韓美貿易協議陷入尷尬境地。根據協議,韓國承諾向美投資 1,500 億美元以換取關稅減免與軍事技術合作,但法律障礙可能導致資金無法如期落實: 韓華海洋(Hanwha Ocean): 雖然已斥資收購費城造船廠(Philly Shipyard),但若無法獲得 NDAA 的例外條款支持,未來在爭取美國本土軍艦建造訂單時,仍將面臨極大的法律審查與國產化率要求。 HD 現代(HD Hyundai): 先前採取較保守的技術合作模式,目前雖在 MRO(維修、翻修與運行)業務上小有斬獲,但對於更具利潤的「整艦外銷」計畫,其法律路徑已幾乎被封鎖。
圖/本報AI製圖(示意圖) 商傳媒|責任編輯/綜合外電報導 軟體整合平台商 SnapLogic 今日宣布,為其代理整合平台(Agentic Integration Platform)導入全新「AI 閘道(AI Gateway)」與「信任代理身分(Trusted Agent Identity)」功能。此舉目的在協助企業克服將人工智慧(AI)從試點專案推進至實際營運工作流程時所面臨的挑戰。 SnapLogic 技術長 Jeremiah Stone 指出,企業當前不乏 AI 模型或代理,卻面臨「執行力不足」的困境,挑戰在於如何將 AI 嵌入業務營運而非僅停留在測試環境。他強調,真正的挑戰是如何將 AI 作為數位勞動力整合至業務流程中。根據 Gartner 的研究,近五成的生成式 AI 專案在概念驗證階段後即遭放棄,主因是數據品質不佳、風險控制薄弱、成本上漲或商業價值不明確。 SnapLogic 的新功能直接回應這些痛點。AI 閘道作為一個核心層,為所有 AI 互動提供集中式的身份驗證、授權及流量節流管理。同時,平台新增了可觀測性儀表板,用以監控企業系統與 AI 代理之間的互動。 而信任代理身分則確保 AI 代理在執行任務時,能以個別用戶而非共享服務帳戶的身分與權限運作。透過令牌傳播模式,用戶身份可從代理傳遞至整合層,並進一步到達後端系統,確保所有操作皆可追溯至特定用戶。 為強化整合能力,SnapLogic 擴展了將現有企業整合方案作為 AI 代理工具的能力,即使這些方案並非在 SnapLogic 環境中建構。此外,OpenAPI 功能產生器能將 API 規範轉換為代理可呼叫的功能。平台支援雙向模型語境協定(Model Context Protocol),可連接外部 MCP 伺服器,並將 SnapLogic 管線公開為外部代理的安全工具。目前,平台已提供超過 1,000 個預建連接器,適用於企業資源規劃(ERP)、客戶關係管理(CRM)、資料庫及軟體即服務(SaaS)產品,這些連接器現皆可作為 AI 代理的工具。 在工具管理方面,SnapLogic 也增設了工具生命週期管理、版本控制、中繼資料及沿襲控制,以提升重複使用性與監督能力。其 AgentCreator 產品將進一步擴展,支援客製化 AI 代理的可視化設計與部署,用戶可在代理設計階段檢查推理步驟、工具調用和結果。 此平台不僅能支援 OpenAI、Azure OpenAI、Google Gemini 和 Amazon Bedrock 等多種主要 AI 模型供應商,更能在不同模型間提供一致的操作體驗,無需為每個模型單獨編寫邏輯。SnapLogic 也更新了其平台內建的 AI 助理 SnapGPT,新增了「規劃模式(Plan Mode)」用以在執行前驗證及優化工作流程規劃,以及「預覽數據洞察(Preview Data Insights)」功能,可在設計階段突顯數據結構、品質與合規性問題。 此最新發布旨在解決企業採用代理型 AI 系統時所面臨的治理、連接與稽核挑戰,透過端到端的可觀測性、完整的管線沿襲及可追溯性,以及對數據、API 和代理互動的精細控制。
商傳媒|記者顏康寧/綜合外電報導 設計圈震撼彈!Canva AI 2.0 橫空出世,不只是製圖助手,更是能一鍵生成廣告專案、深度整合 Slack 與 Gmail 的超級「自動化設計大腦」。首波百萬名額限時開放,設計門檻正式歸零! 澳洲設計軟體巨頭 Canva 於洛杉磯 Create 大會震撼宣布,正式推出問世以來最大規模更新「Canva AI 2.0」預覽版。這項被內部譽為「十年磨一劍」的核心技術,不僅強化了對話式生成介面,更首度導入跨軟體協作流程與 HTML 編輯功能,試圖在 AI 戰場中正面對抗 Adobe。自 2026 年 4 月 16 日起,全球首波 100 萬名用戶將可搶先體驗這款具備「持久記憶」能力的設計助理。 根據《Engadget》報導;Canva 本次發表的 AI 2.0 並非單純的修補,而是從底層邏輯進行重新建構。其核心競爭力在於全新的「編排層(Orchestration Layer)」技術;這使系統能理解複雜的多步驟指令,而非僅限於單一圖片生成。例如:使用者僅需下達「啟動跨渠道廣告企劃」指令;系統便會自動動用旗下所有工具,一次產出符合規格的社群貼文、電子郵件以及廣告橫幅。 針對企業品牌端,Canva AI 2.0 展現了極高的靈活性;過往 AI 生成圖片最為人詬病的「難以微調」痛點,在本次更新中獲得解決。系統生成的每一個視覺元素皆可獨立編輯;無論是更換字體、調整單一物件位置,都不會影響整體構圖的完整性。此外;新介面具備「持久記憶」功能,能隨著使用頻率增加,精準掌握使用者的美感偏好與品牌規範,確保產出內容始終符合企業風格。 在工作流程的整合上,Canva AI 2.0 展現了跨領域的野心。新版軟體首度支援與 Notion、Slack、Zoom、Gmail 及 Google Calendar 等主流生產力工具深度串接。這意味著 AI 能直接從溝通軟體中提取數據;並在背景作業中自動排程完成設計任務。針對開發者需求;更新後的編碼助理更支援 HTML 導入,讓網頁設計師能直接在視覺化編輯器中微調 UI 介面,大幅提升開發效率。 Canva AI 部門主管 Danny Wu 受訪時強調;這項進展並非盲目追求 AI 熱潮,而是實現「設計平民化」願景的自然演進。儘管 Adobe 也在本週推出相關工具,但 Canva 憑藉其直覺的介面與強大的整合能力;試圖在專業與大眾市場間建立穩固堡壘。目前該功能已開放首批 100 萬人預約測試;雖然基本功能維持免費,但官方也同步推出「AI Pass」加值方案,提供更高頻次的運算額度,滿足高強度作業需求。
《圖說》板橋分局偵查隊副隊長陳亮溦說明境外去中心化預測平台進行選舉賭博案件案由。〈板橋分局提供〉 【記者葉柏成/新北報導】新北市板橋警分局昨(15)日報請新竹地方檢察署指揮偵辦,查獲一起利用境外去中心化預測平台進行選舉賭博案件,並通知涉案何姓男子到案說明,全案依法偵辦中。警方強調,網路並非法外之地,對於任何以博弈方式干擾選風之行為,將持續強力查緝。 板橋分局偵查隊副隊長陳亮溦說明案由指出,該案係板橋分局蒐報選舉情資發現,境外預測平台「Polymarket」設置「2026 Taiwanese Local Elections」賭盤,供不特定民眾以虛擬貨幣下注,預測各政黨於全台22縣市首長選舉之勝選席次。專案小組隨即展開調查,透過大數據分析及鏈上金流追蹤技術,逐步鎖定涉案對象身 《圖說》板橋警通知涉案男子到案說明,全案依法偵辦中。〈板橋分局提供〉 經長期蒐證,警方於4月15日執行查緝行動,通知何姓男子到案。初步了解,何嫌坦承透過虛擬貨幣錢包參與下注,企圖藉匿名特性規避查緝,惟相關交易紀錄仍遭警方掌握。全案訊後依違反相關法令移送偵辦,並持續擴大追查是否有其他涉案人員。 分局長彭正中強調,該類境外選舉賭盤除涉及非法博弈外,可能成為境外資金介入選舉、影響選民認知之管道,甚至衍生假訊息操作風險,對民主制度構成威脅。未來將持續強化對虛擬資產、匿名社群及網路平台之監控與查緝,防堵各類違法介選行為,維護國內選舉秩序與社會安定。